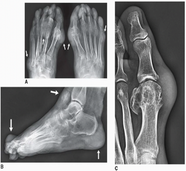
Metabolic Arthropathies
Many diseases involving the metabolism of the body can present themselves with joint manifestations. These include Hemochromatosis, Alkaptonuria, Acromegaly, Diabetes mellitus etc. Management requires control of the underlying disease.
