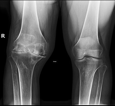
Haemophilic arthropathy
Haemophilia is a disease characterized by inability of the blood to clot. This can lead to recurrent bleeding. Recurrent bleeding into the joints can lead to arthropathy. Treatment would require correction of the clotting abnormalities often using clotting factors.
